醫療技術
【新技術】我院骨傷科成功完成費縣首列膝關節HTO手術
發布日期:2021-01-20
浏覽量:987
次
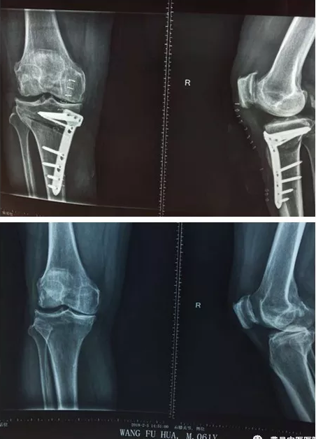
患者王XX、男、60歲,因右膝骨性關節炎緻右膝關節疼痛,嚴重影響正常生活。經多方求醫,均建議行“人工關節置換” 術,經骨二科主任郭士金診療,考慮到患者年齡尚可,關節置換會給患者帶來諸多不便,郭主任考慮采用最新微創矯形技術——HTO截骨術,保留病人膝關節,病人欣然接受,手術僅需5-6厘米小切口,手術時間不到1小時,術後12小時就能在助行器支撐下練習行走。
HTO截骨手術是一種保膝治療手術,無需置換入人工關節假體,手術風險低,創傷較全膝關節置換明顯降低,術後恢複快、減短住院日期和降低醫療費用,最主要是患者膝關節本體感覺存在,無異物感。
此項技術完成、填補了我縣空白,也進一步完成了我院對膝骨性關節炎的階梯治療,目前我院對膝骨性關節炎治療可以根據病情不同階段采取藥物治療、胫骨截骨(HTO)治療,單髁關節置換、全膝關節置換等,這些手術的開展使我院膝骨性關節炎的治療走在了全國先進行列。


